El agujero macular es una enfermedad del ojo que afecta a la mácula. La mácula es la porción central y más importante de la retina que nos permite por ejemplo captar los detalles de una cara para poder reconocerla. La lesión consiste en una pérdida progresiva del espesor de la retina en la zona afectada, en la que acaba por formarse un orificio de tamaño muy pequeño, menor de 1 mm de diámetro, pero que tiene gran repercusión sobre la capacidad visual.[1]
Esta enfermedad no debe confundirse con la degeneración macular asociada a la edad (DMAE) que es otro proceso diferente que también afecta a la mácula.
Síntomas
El síntoma principal consiste en la disminución de la agudeza visual, pueden aparecer también escotomas (zonas oscuras) y metamorfopsias (visión distorsionada de las formas).
Clasificación
- Estadio 1a o inminente.
- Estadio 1b u oculto.
- Estadio 2 o precoz. El paso del estadio 1 al 2 lleva un periodo de tiempo variable que puede oscilar entre una semana y varios meses.
- Estadio 3 o establecido.
- Estadio 4. En esta fase la pérdida de visión es severa, pues la mácula se encuentra prácticamente destruida.
Causas
La principal causa es la tracción tangencial mantenida y progresiva del vítreo sobre la mácula del ojo. Un mecanismo puramente físico. Por ello la enfermedad tiene carácter progresivo y tendencia a empeorar si no recibe tratamiento.
Explicación
El ojo está en su mayor parte relleno de una sustancia gelatinosa llamada humor vítreo que se encuentra firmemente unido a la retina en varios puntos. Con el paso de los años, el humor vítreo disminuye de tamaño y se contrae, produciendo una tracción sobre la retina, siendo el agujero macular consecuencia de este proceso.
Diagnóstico
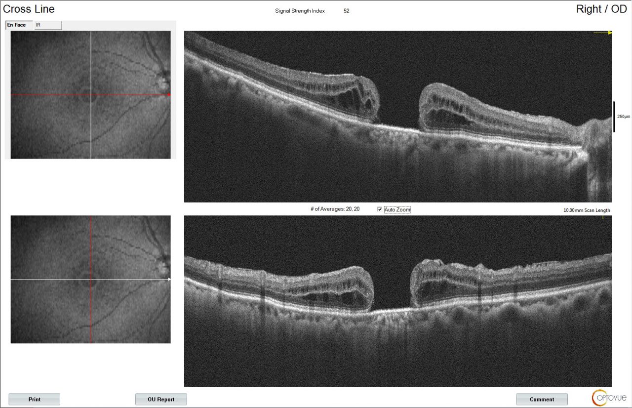
La exploración oftalmológica hace posible establecer el diagnóstico. Existe una prueba denominada tomografía de coherencia óptica (OTC) que permite obtener imágenes de gran precisión, mediante las cuales se puede averiguar el grosor de la retina, la presencia de agujero macular y su grado de evolución.
Tratamiento
En determinados casos se han obtenido mejoras de la agudeza visual mediante una intervención quirúrgica denominada vitrectomía, la cual no está exenta de riesgos. Se suelen obtener mejores resultados en los agujeros que han estado presentes un tiempo inferior a 6 meses.[1]
Referencias




